Featured image of post Radiopaedia Colles Vs Smith Fracture

Radiopaedia Colles Vs Smith Fracture

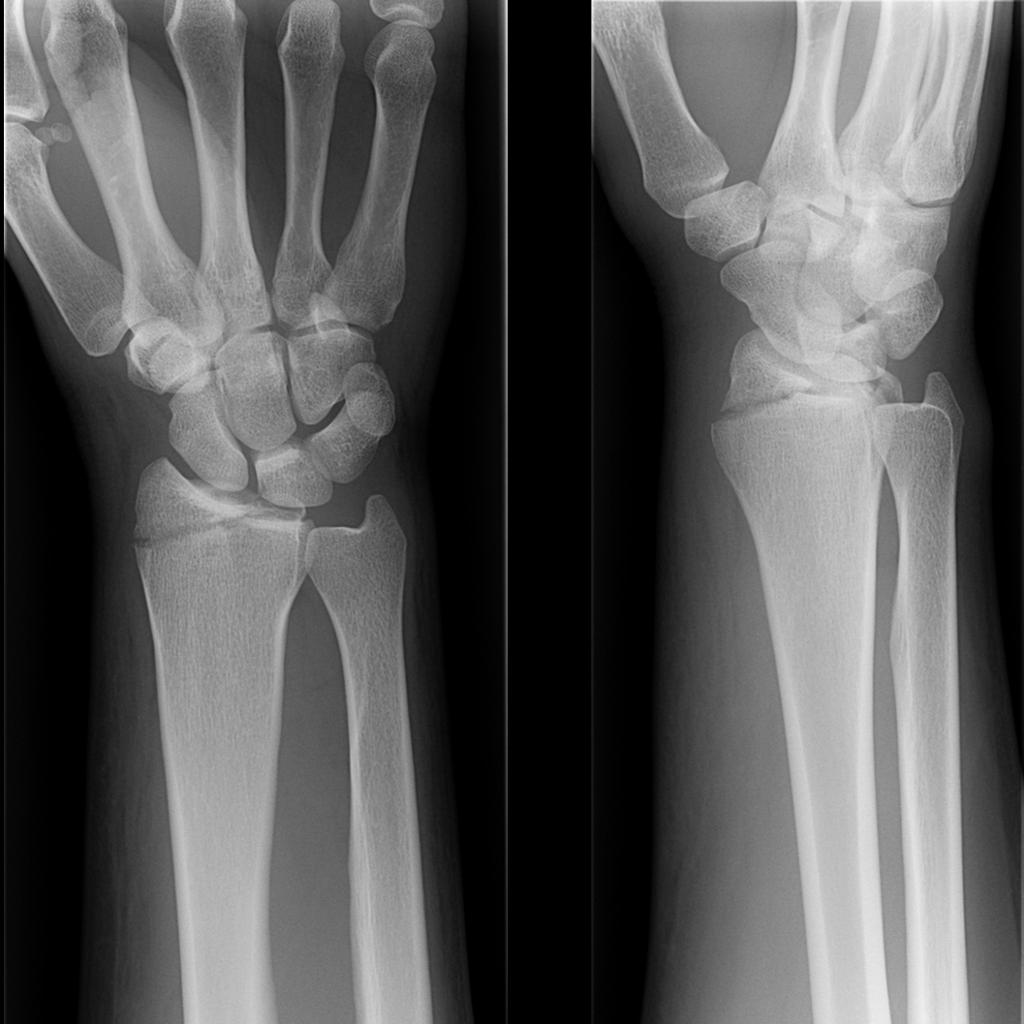
This page is about smith fracture contains smith fracture smith fracture smith fracture smith fracture

Built with Hugo Cuy
Theme Reang Cuy v.%!(EXTRA string=2.0.1) designed by Ngopi24Jam.cuy